Врачи Новгородской областной детской клинической больницы спасли подростка с пулевым ранением из пневматической винтовки. Историю спасения на своей странице в соцсети рассказал министр здравоохранения Новгородской области Валерий Яковлев.
В конце марта в Боровичах два друга нашли в сарае пневматическую винтовку, которая принадлежала отцу одного из ребят. Игра с оружием быстро вышла из-под контроля. Раздался выстрел, один ребёнок оказался ранен, другой бросился вызывать скорую помощь. Для восстановления здоровья мальчика медикам понадобилась более двух месяцев.
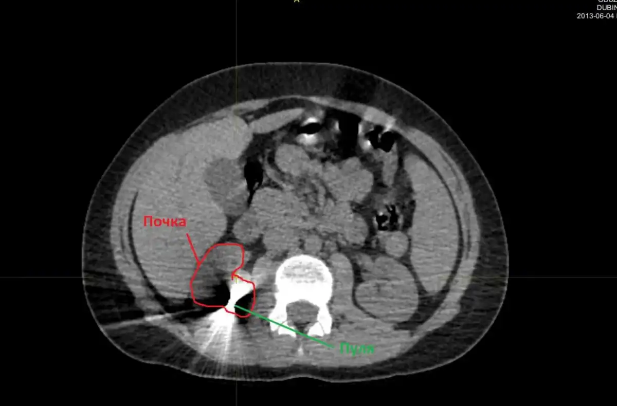
В детской областной больнице после тщательного обследования врачи выяснили, что пуля прошла через мягкие ткани и застряла в почке. Подросток прошёл курс лечения, и его состояние постепенно стабилизировалось. После чего было принято решение о проведении операции.
Операцию по извлечению инородного тела успешно провели хирурги Артём Вавилов и Ерануи Барсегян. Пуля была извлечена, а жизненно важный орган остался неповреждённым. Сейчас мальчик чувствует себя хорошо, находится дома среди родных и друзей.

Теги: Великий Новгород, Боровичи, подростки, дети, пулевое ранение, пневматика, врачи, ДОКБ, больница
























